14 Mart 2026, Cumartesi
weather
5°
Ajans344 | Yaşam | Akciğer Kanseri Gerçeği: Her Yıl Milyonlar Hayatını Kaybediyor!

Akciğer Kanseri Gerçeği: Her Yıl Milyonlar Hayatını Kaybediyor!

Uzmanlar akciğer kanserinin en ölümcül kanser türü olduğunu açıkladı. Vakaların %90'ından sigara sorumlu tutulurken, elektronik sigaralar da masum değil.

Uzmanlar akciğer kanserinin en ölümcül kanser türü olduğunu açıkladı. Vakaların %90'ından sigara sorumlu tutulurken, elektronik sigaralar da masum değil.

KAYNAK: Haber Merkezi
Akciğer Kanseri Gerçeği: Her Yıl Milyonlar Hayatını Kaybediyor!

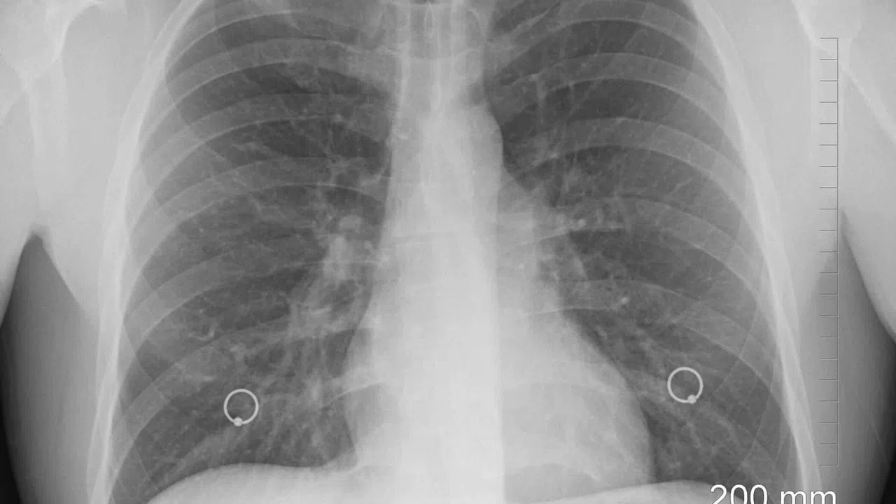
Dünya genelinde kansere bağlı ölümlerin en sık nedeni olan akciğer kanseri, her yıl milyonlarca insanın hayatını kaybetmesine yol açıyor. Bayındır Söğütözü Hastanesi Göğüs Hastalıkları Bölüm Başkanı Doç. Dr. Cem Gündoğdu, yaptığı açıklamada akciğer kanseri nedeniyle yaşanan ölümlerin tüm kanser ölümlerinin yaklaşık beşte birini oluşturduğunu belirtti. Gündoğdu, hastalığın en büyük nedeninin sigara kullanımı olduğunu vurgulayarak, vakaların %85-90'ının sigara ile ilişkili olduğunun altını çizdi.

Sigara ve Elektronik Sigara Tehlikesi

Doç. Dr. Cem Gündoğdu, sigara kullanımının yanı sıra sigara dumanına maruz kalmanın da riski %20-30 oranında artırdığı uyarısında bulundu. Sigara dumanında 4 binden fazla kimyasal madde ve 70'ten fazla kanserojen bileşen bulunduğuna dikkat çeken Gündoğdu, elektronik sigaraların da sanıldığı gibi masum olmadığını ifade etti. "Elektronik sigaralarda ağır metaller, kurşun ve kanserojen organik kimyasallar bulunuyor" diyen Gündoğdu, bu ürünlerin uzun vadeli etkileri tam bilinmese de akciğer sağlığı açısından ciddi riskler taşıdığını vurguladı.

Çevresel Faktörler ve Erken Tanı Önemi

Sigaradan bağımsız olarak çevresel ve genetik etkenlerin de akciğer kanserine yol açabildiğini belirten Gündoğdu, ailede akciğer kanseri öyküsü, asbest ve radon gazına maruziyet, hava kirliliği gibi faktörlerin riski artırdığını söyledi. Hastalığın erken dönemde belirti vermediğine dikkat çeken Gündoğdu, "Geçmeyen öksürük, göğüs ağrısı, kanlı balgam, nefes darlığı gibi bulgular önemli. İleri evrede baş ağrısı, kemik ağrısı, iştahsızlık ve kilo kaybı da tabloya eklenebilir" diyerek erken tanının hayat kurtardığını ifade etti.

Korunma Yöntemleri ve Farkındalık

Doç. Dr. Gündoğdu, akciğer kanserinin önlenebilir bir hastalık olduğunun altını çizerek, "Sigara içmemek, pasif içicilikten kaçınmak ve risk faktörlerinden uzak durmak akciğer kanserine karşı en etkili korunma yöntemidir" uyarısında bulundu. Türkiye'de ve dünyada artan kanser vakalarına karşı farkındalık oluşturmanın önemine değinen Gündoğdu, düzenli kontroller ve sağlıklı yaşam alışkanlıklarının hastalıktan korunmada kilit rol oynadığını sözlerine ekledi. Önümüzdeki dönemde, akciğer kanseri farkındalık çalışmalarının artırılması ve erken tanı imkanlarının yaygınlaştırılması beklenmekte.

Yorumlar
Yorum yazma kurallarını okumuş ve kabul etmiş sayılırsınız